Αισθητική Οδοντιατρική.
Η Οδοντιατρική στις μέρες μας έχει εξελιχθεί πολύ με σκοπό να ικανοποιήσει τις ολοένα και μεγαλύτερες ανάγκες του κόσμου για ένα υγιές και όμορφο χαμόγελο. Νέα υλικά, νέες τεχνικές και η υψηλή τεχνολογία έχουν συνδράμει στο να μπορούμε να ικανοποιήσουμε τις επιθυμίες των ασθενών μας. Είτε πρόκειται για Οδοντίατροι Πειραιάς είτε σε άλλη περιοχή…αφού πάρουμε πρώτα ιατρικό και οδοντιατρικό ιστορικό ξεκινούμε τη συζήτηση με τον ασθενή, σχετικά με το πια είναι η επιθυμία του και τι μπορεί να γίνει. Αξιολογούμε κάποιες παραμέτρους όπως το φύλο, η ηλικία, την κατάσταση των δοντιών, τον οικονομικό προϋπολογισμό του ασθενούς και του προτείνουμε όλες τις εναλλακτικές λύσεις.
ΥΠΗΡΕΣΙΕΣ ΑΙΣΘΗΤΙΚΗΣ ΟΔΟΝΤΙΑΤΡΙΚΗΣ:
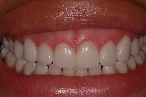
Λεύκανση δοντιών
Ο πιο σύγχρονος και αποτελεσματικός τρόπος είναι άμεσα σε 1 ραντεβού με λάμπα λεύκανσης τύπου LED.
Αφαίρεση χρωστικών που προκαλούνται κυρίως από το κάπνισμα και τον καφέ με ειδική συσκευή σοδοβολής.
Όψεις ρητίνης. Με ελάχιστο τρόχισμα μπορούμε να αλλάξουμε την πρόσοψη των δοντιών σε 1-2 ραντεβού. (βλέπε σχετικό άρθρο)
Όψεις πορσελάνης. Όπως και στις όψεις ρητίνης έτσι και με τις όψεις πορσελάνης μπορούμε να αλλάξουμε την πρόσοψη των δοντιών με ελάχιστο τρόχισμα με τη διαφορά ότι το αποτέλεσμα είναι πιο φυσικό και το χρώμα πιο σταθερό. (βλέπε σχετικό άρθρο)
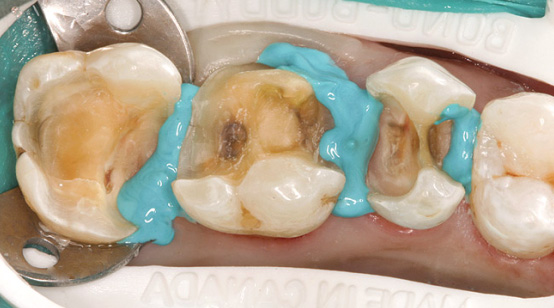
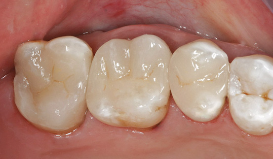
Θήκες ζιρκονίου και ολοκεραμικές. Πρόκειται για τα πιο σύγχρονα υλικά κατασκευής θηκών και γεφυρών. Πετυχαίνουμε φυσικό αποτέλεσμα και το πιο βασικό δεν βλέπουμε τη μαύρη γραμμή στα ούλα με το πέρας του χρόνου, όπως συμβαίνει με άλλα υλικά. (βλέπε σχετικό άρθρο)
Ανασυστάσεις δοντιών με άξονες υαλονημάτων (λευκοί άξονες). Σε αρκετά κατεστραμμένα δόντια, τοποθετούμε άξονες και τα χτίζουμε με ρητίνη χρησιμοποιώντας την τεχνική της διαστρωμάτωσης.
Μερικές Οδοντοστοιχίες (μασελάκι ή μηχανάκι) με συνδέσμους ακριβείας (attachment). Τα αντιαισθητικά κλασικά μεταλλικά άγκιστρα καταργούνται και τη θέση τους παίρνουν κρυφοί και αισθητικοί σύνδεσμοί. (βλέπε σχετικό άρθρο)
Μερικές Οδοντοστοιχίες (μασελάκι ή μηχανάκι) με ακεταλικά και θερμοπλαστικά άγκιστρα. Μία άλλη τεχνική για να καταργήσουμε τα αντιαισθητικά μεταλλικά άγκιστρα. (βλέπε σχετικό άρθρο)
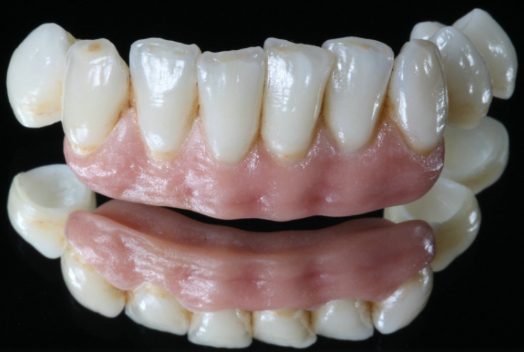
Ολικές Οδοντοστοιχίες (μασέλες) με πλήρη απομίμηση μίας φυσικής οδοντοστοιχίας. Μπορούμε να δώσουμε πια, τόσο στη διάταξη των δοντιών όσο και στο σχήμα των ούλων μεγάλη φυσικότητα και αισθητική.







