Αισθητικές Οδοντοστοιχίες τύπου Attachment
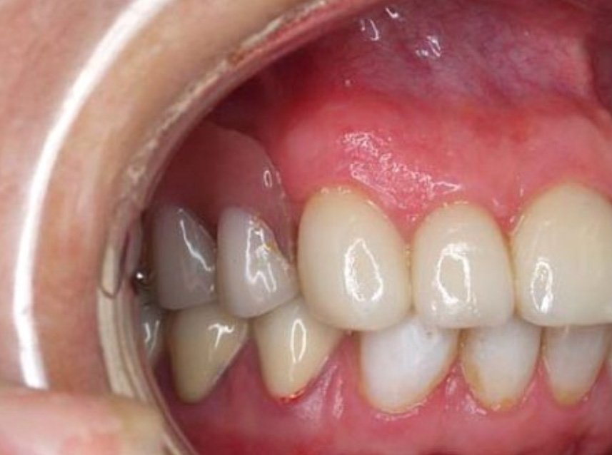
Με τον όρο Μερική Οδοντοστοιχία εννοούμε, τα κλασικά μασελάκια ή “μηχανάκια”. Πρόκειται για οδοντοστοιχίες που στηρίζονται πάνω σε φυσικά δόντια και λειτουργούν σαν κινητές γέφυρες. Όταν λοιπόν τα φυσικά δόντια είναι λίγα, αδύναμα ή δεν έχουμε οπίσθια δόντια για να κατασκευάσουμε ακίνητες γέφυρες, τότε η οικονομική επιλογή είναι η μερική οδοντοστοιχία. (εικόνα) Οι κλασικές μερικές οδοντοστοιχίες στηρίζονται στα φυσικά δόντια με μεταλλικά άγκιστρα. (εικόνα)
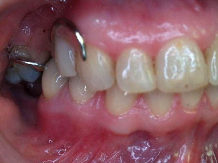
Σήμερα έχουμε τη δυνατότητα να καταργήσουμε τα μετταλικά άγκιστρα, χρησιμοποιώντας συνδέσμους ακριβείας ή αλλιώς attachment. Πρόκειται για κρυφές εσωτερικές ενώσεις μεταξύ των δοντιών και της μερικής οδοντοστοιχίας που προσφέρουν άψογη αισθητική και ισχυρή συγκράτηση. (εικόνα) Έτσι βλέπουμε μία φυσική συνέχεια μεταξύ των φυσικών δοντιών και της οδοντοστοιχίας και ο ασθενής αισθάνεται πολύ άνετα και χαμογελά με αυτοπεποίθηση.



